All-On-4 Or All-On-6 Dental Implants in Phuket, Thailand
At New Smile Dentists, your premier dental clinic in Phuket, we specialize in all-on-4 Phuket Thailand treatments. Our expert team offers both cutting-edge all-on-4 dental implants and all-on-6 solutions, providing you with a new set of teeth in just one day of operation.
Why Choose All-On-4 Implants at New Smile Dentists?
: Receive a full set of new teeth in a Day (required 14 days of preparation).
: Requires just one surgery (in standard cases).
: Experienced all-on-4 clinic with a highly skilled specialist team.
: State-of-the-art technology for precise and efficient treatments.
: Affordable alternative to traditional implant procedures.
: Minimally invasive technique requiring less bone grafting.
: Reduce bone resorption.
: Has proven predictability with highly successful outcomes.
Book Now

All-on-4 Phuket is considered as
: Immediate prosthesis on the same day with implant placement
: An innovative approach to full-arch dental restoration.
: A prosthodontic procedure for total rehabilitation of patients with few or no teeth or poor teeth condition, prosthodontics offers a permanent solution that looks, feels, and functions like natural teeth.
: Using 4 – 6 implants to support a new set of teeth in each jaw.

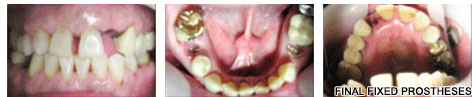
The Procedure of All-On-4 Dental Implants
All-on-4 techniques allow us to deliver immediate teeth with the FIXED provisional prostheses. Later on, after 4 – 6 months, the final prosthesis will be delivered.
At New Smile Dentists, our All-On-4 Phuket Thailand procedure typically involves:
1. Comprehensive consultation and treatment planning
2. Placement of 4 – 6 strategically positioned implants
3. Immediate fitting of a provisional prosthesis
4. Healing period of 3 – 6 months
5. Final fitting of the permanent, custom-made prosthesis
We utilize advanced imaging techniques, including OPG x-rays and CT scans, to ensure precise implant placement and optimal results.
If you want the preliminary treatment plan, please send all the information you have to us (by e-mail or post). These can include:
: Photos

: OPG x-ray

: CT Scan /3D

: Treatment Plan of your prior clinic
: Medical history, including daily taking medicines
Notes
To do All-On-4 procedures, it takes 2 trips (4-6 months in between) to complete the whole process. Book Now
1st Trip : You will get your FIXED provisional prostheses.
2nd Trip : You will get your final prostheses .Fixed Prostheses OR Removable Prostheses.
Discover if all-on-4 dental implants are right for you. Contact New Smile Dentists, your trusted all-on-4 clinic in Phuket, for a consultation and personalized treatment plan.
Call New Smile Dentists at Patong Phuket, Thailand
at +66 92 469 5515, for your appointment!
Email: [email protected], [email protected]
Frequently Asked Questions about All-On-4
1. What is the cost of all-on-4 dental implants in Phuket, Thailand ?
The all-on-4 dental implant cost in Phuket varies depending on individual cases. Consultation is required to provide accurate cost estimates based on your specific needs.
2. How long does the All-On-4 procedure take ?
The surgical procedure for all-on-4 Phuket typically takes about 2 – 3 hours per arch. You’ll leave with a temporary set of teeth the same day of implant placement, with the final prosthesis fitted after 3 – 6 months of healing.
3. Is All-On-4 painful ?
The procedure is performed under local anesthesia, ensuring you are comfortable throughout the process. Some post-operative discomfort is normal but can be managed with prescribed pain medication.
4. How long do all-on-4 implants last ?
With proper care and regular dental check-ups, all-on-4 implants can last a lifetime. However, the prosthetic teeth may need replacement after 10 – 15 years due to normal wear.
5. Am I a good candidate for all-on-4 implants ?
Most patients with significant tooth loss are candidates for all-on-4 implants. However, a thorough evaluation at our dental clinic in Phuket is necessary to determine your suitability. Factors like overall health, bone density, and lifestyle habits are considered.
